当科では、成人の方を対象としたむし歯の治療、根の治療および軽度の歯周病(歯槽膿漏症)の治療を中心に行っています。
また、医科での手術(骨髄移植、臓器移植、心臓の手術、関節の手術など)前後の患者さんに対して感染防止のための治療、口腔ケアを行っています。加えて、旧審美歯科外来のうちホワイトニング(歯の漂白など歯を白くする治療)なども担当します。

治療においては、可能な限りむし歯の部分だけを削り、健康な歯を残すことを優先にした治療を行います。むし歯の予防効果が期待できるフッ化物の含んだ材料の使用や審美性(見た目)を重視した材料等の使用を積極的に進めています。

むし歯が進行すると、歯の中の歯髄(神経)が侵され、多くの場合痛みをともないます。そのまま放置すると、根の中の歯髄が通っている管(根管)を介して、細菌がさらに体内に侵入する原因となります。細く曲がった根管を処置するのは時間がかかることがありますが、細菌の感染経路を遮断するにはとても重要です。当科では根管治療で痛みがとれない、治療が長引くなどの、治りにくい症状に対処するとともに、症例によっては、顕微鏡下での処置も行います。
医科からの依頼により、医科での手術(骨髄移植、臓器移植、心臓の手術、関節の手術など)前後の患者さんに対する感染防止のための治療、口の中の健康管理等を行っています。
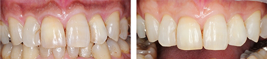
当科では審美歯科のうち、以下の内容を担当しています。審美歯科治療は保険適応外となります。そのため、よく相談し満足されるような治療を提供できるよう心がけています。
・歯の漂白(ホワイトニングの1つ)
何らかの理由で変色している歯に対して、漂白処置を行うことで色を白くします。変色の状態などで漂白による色の改善ができない場合もありますので、慎重な診断のもとに行います。
大きく分けて歯科医師が当院にて施術するオフィスブリーチング、患者さんがご自宅で行うホームブリーチング、歯の神経が死んでしまった歯に対するウォーキングブリーチがあります。



・ダイレクトボンディング(歯の隙間を埋める治療)
歯と歯の間の隙間に白いプラスチックをつめてきれいにする治療です。
・セラミックインレー
保険診療で頻繁に使用される部分的な銀歯をセラミックやジルコニアといった審美性に優れる材料に変える治療です。これらの材料は強度に優れ汚れがたまりにくく機能的にも優れた材料です。
・ラミネートベニア
着色が強く、通常の歯の漂白では改善が望めない場合に歯の表面を削りセラミックの薄板を貼り付ける治療です。
・歯のマニキュア
大事な行事(結婚式や面接試験)の直前などに一時的に歯がきれいに見えるようにするマニキュアを塗布する治療です。
・歯肉メラニン除去
レーザーや薬剤を使用して歯肉の着色を除去します。

初診受付:午前8時30分~午前12時(予約制)※午後の初診をご希望の方はご相談ください
再診受付:午前8時30分~午後4時(予約制)
診療時間:午前9時~午後5時
診療日:月曜日~金曜日
休診日:土曜日、日曜日、祝日、年末年始の休日
お問合せ先 第四診療室 電話:011-706-4346、4347、4359(午前9時~午後5時まで)
| 職名 | 氏名 | 所属学会・指導医・専門医など |
|---|---|---|
| 診療科長 教授 |
友清 淳 | 日本歯科保存学会 上級医 日本歯内療法学会 専門医 |
| 外来医長 診療講師 (旧・審美歯科外来医長) |
川本 千春 | 日本歯科専門医機構 歯科保存専門医 日本歯科保存学会 上級医・指導医 日本歯科審美学会 認定医 |
| 講師 | 星加 修平 | 日本歯科保存学会 認定医 |
上記の他
日本歯科保存学会認定医5名